Асимптоматична пневмония - тихият убиец
15 април 2020 09:03 Mobile watches 914 прочита Mobile comments 0 коментара

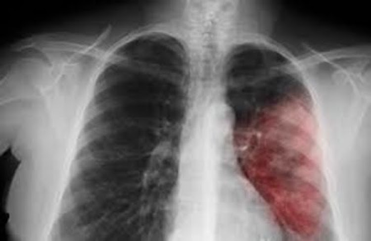
Много хора погрешно смятат, че пневмонията винаги е придружена от висока телесна температура, болка в белите дробове и силна кашлица. Това заболяване обаче може да протече безсимптомно и за да се избегнат усложнения е важно да го разпознаете навреме. Вижте кои симптоми трябва да ви алармират, че нещо не е наред.

Това заболяване не може да се нарече напълно безсимптомно. Вместо кашлица и висока температура, пациентите изпитват понижаване на настроението, умора и задух. Тези симптоми лесно могат да бъдат сбъркани с нормалната умора. Също така, тревожните симптоми на пневмония включват: - прекомерно изпотяване; - постоянна жажда и липса на апетит; - задух или учестено дишане; - болка под долните ребра; - често главоболие. Един от тревожните (но не винаги възникващи) сигнали за пневмония може да бъде суха кашлица, която не преминава дълго време.

zdrave.to

0 коментара
Коментирай
ВАЖНО! Правила за публикуване на коментар
Име
Коментар


Въведете кода от картинката